 |
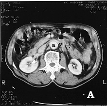
Figura 1: Tomografia computadorizada de abdome com contraste. A - imagem da aorta (a) na altura da veia renal E (v), revelando um calibre normal abaixo das artérias renais. B - imagem do maior diâmetro do aneurisma (a), com ausência de trombo mural, e C - imagem do aneurisma de ilíaca D (a1) com presença de trombo mural (t) e ilíaca E com diâmetro pouco aumentado (a2). |