Em termos
fisiológicos, a mensuração da PVC é um métodos acurado da estimação da pressão de
enchimento do ventrículo direito, de grande relevância na interpretação de sua
função.
O método de mensuração da PVC com coluna de água, devido à sua
extrema simplicidade e baixo custo, é bastante popular e largamente utilizado,
dispensando transdutores eletrônicos sofisticados.
Quando utilizada de maneira criteriosa e sempre que possível associada
a outros parâmetros clínicos e hemodinâmico, a PVC é um dado extremamente útil na
avaliação das condições cardiocirculatórias de pacientes em estado crítico.
Segundo Araújo, os valores esperados da PVC,
mensurada através da linha axilar média como "zero" de referência, estão
entre 6 - 10 cm H2O (através da coluna d'água) ou de 3 - 6 mmHg (através do
transdutor eletrônico).
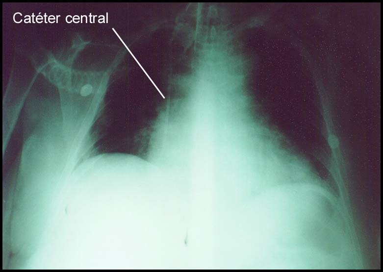
Mensuração da PVC
Para a mensuração da PVC, é necessário o
posicionamento de um catéter em veia central (veia cava superior), comumente
utilizando-se de punção percutânea de veia subclávia ou veia jugular interna. É
checado radiológicamente para certificar-se que o catéter esteja bem posicionado e não
esteja dentro do átrio direito.

Clique na foto para ampliar
Pode-se utilizar para a mensuração da PVC, um manômetro de água
graduado em cm ou um transdutor eletrônico calibrado em mmHg. Espera-se que haja
oscilação da coluna d'água ou do gráfico no monitor, acompanhando os movimentos
respiratórios do paciente.

Clique na foto para
ampliar
Materiais necessários
para se monitorizar uma PVC em Coluna de água.
|